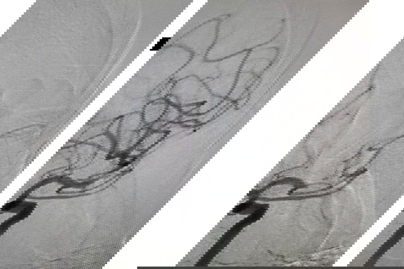
Először végeztek trombektómiás műtétet a Csíkszeredai Megyei Sürgősségi Kórházban, amellyel megmentették egy súlyos stroke-ot kapott 71 éves férfi életét. A beavatkozást Mihály István ideggyógyász szakorvos csapata végezte el.
2025. november 12., 12:402025. november 12., 12:40
2025. november 12., 13:302025. november 12., 13:30
Fotó: Borbély Fanni
Először végeztek trombektómiás műtétet a Csíkszeredai Megyei Sürgősségi Kórházban, amellyel megmentették egy súlyos stroke-ot kapott 71 éves férfi életét. A beavatkozást Mihály István ideggyógyász szakorvos csapata végezte el.
2025. november 12., 12:402025. november 12., 12:40
2025. november 12., 13:302025. november 12., 13:30
Szentegyházán tartózkodott éppen egy besztercei idős férfi, amikor reggel (7 óra 30 perckor) stroke-ot (agyi gutaütést) kapott. A mentősök azonnal felvették a kapcsolatot a Csíkszeredai Megyei Sürgősségi Kórházban ügyeletes neurológus orvossal, jelezve, hogy
Fotó: Borbély Fanni
„A kórházba szállítás után a kollégám, Incze Emese neurológus főorvos megvizsgálta, és jelezte nekem, hogy nagyon súlyos állapotban van a beteg” – osztotta meg az első trombektómiás műtét előzményeit Mihály István, a csíkszeredai kórház ideggyógyász szakorvosa. Mint magyarázta, miután a CT-vizsgálat alapján kiderült, hogy
Mihály István, neurológus szakorvos
Fotó: Borbély Fanni
„Mivel minden perc számít, ezért már a vizsgálat ideje alatt az intervenciós és intenzív terápiás csapat előkészült. Miután beigazolódott a diagnózis, és igazolódott, hogy a rög kivehető, elindítottuk a beavatkozást 9 óra 52 perckor” – mondta a műtétet elvégző orvos. Mint részletezte:

Csíki Évával, a Csíkszeredai Megyei Sürgősségi Kórház ideggyógyászati osztályvezető főorvosával a agyérkatasztrófáról, azaz a „stroke-ról”, illetve az ellátás korszerűsítéséről beszélgettünk.
„Nem volt egy könnyű beavatkozás, többszöri próbálkozásra sikerült:
Teljesen le volt bénulva, félkómás állapotban volt, és egyáltalán nem beszélt, ebből az állapotból pár óra múlva az osztályon már kezét, lábát emelte, kezdett beszélgetni, még ha nem is tökéletesen, de kezdett beszélgetni, és magához tért. Nagyon súlyos állapotban maradt volna, ha ezt a beavatkozást nem tudjuk elvégezni” – magyarázta a neurológus szakorvos. Tőle tudjuk, hogy
Fotó: Csíkszeredai Megyei Sürgősségi Kórház
„Ez a fajta beavatkozás maximális fókuszálást igényel, a műtét után tíz percig csak a falat néztem, hogy feldolgozzam” – osztotta meg a szakorvos, milyen volt először egy ilyen beavatkozást úgy elvégezni, hogy üvegfal mögött nincs egy tapasztaltabb orvos, aki közbelépne, ha szükséges. Hozzátette, sokat köszönhet a kardiológiai központ intervenciós csapatának, az asszisztenseknek, akiknek már nagy tapasztalatuk van, valamint az intenzív terápiás csapatnak.
Fotó: Borbély Fanni
A műtéthez szükséges tudást Mihály István két éves képzésen szerezte meg a marosvásárhelyi klinikai kórházban Lucian Mărginean orvosprofesszor csapatában – ezt már Konrád Judit, a Csíkszeredai Megyei Sürgősségi Kórház menedzsere osztotta meg szerdán, az első trombektómiás beavatkozást ismertető sajtótájékoztatón a kórház könyvtárában. Hozzátette:

Egyre több beteget műtenek meg a korszerűen felszerelt csíkszeredai intervenciós kardiológiai központban, amely 2023 januárja óta működik a megyei sürgősségi kórházban. Csak idén több mint 550 pácienst láttak el.
Annak érdekében, hogy lefedjék a 24 órás ügyeletet, ezért Német-Mezey Csongor személyében újabb neurológus szakorvos kezdte el a 2 éves képzést, ugyancsak Lucian Mărginean orvosprofesszor keze alatt. Ezzel a beavatkozással a kórház kardiológiai intervenciós központja neurológiai intervenciós központtá bővült.
Csíki Éva ideggyógyász főorvos, a kórház neurológiai osztályának vezetője arról beszélt, hogy idén eddig 431 stroke-on átesett pácienst láttak el, közülük 44-en vérzéses stroke-on, a többiek iszkémiás stroke-on estek át. Tőle tudjuk azt is, hogy
Fotó: Borbély Fanni
„A kórház több olyan országos programban vesz részt, amely finanszírozza a meglehetősen költséges modern kezelési eljárásokat” – tette hozzá. Mint mondta, nemcsak országos szinten, hanem világszinten növekszik a stroke-os betegek száma, és egyre fiatalabbak is érint. A csíkszeredai kórházban 18 éves volt a legfiatalabb páciens, akit eddig stroke-al kezeltek.
Fotó: Borbély Fanni
Első trombektómiás beavatkozás a csíkszeredai kórházban
Fotó: Csíkszeredai Megyei Sürgősségi Kórház
Az áram drágult a legnagyobb mértékben az elmúlt egy évben az Országos Statisztikai Intézet (INS) szerdán közölt adatai szerint.
Szeptemberben augusztushoz képest 56 lejjel, azaz 1 százalékkal 5443 lejre nőtt a nettó átlagbér Romániában – közölte szerdán az Országos Statisztikai Intézet (INS).
Több mint 170 bírság, 7 bevont jogosítvány és 8 forgalmi engedély – ez a mérlege annak az átfogó közúti ellenőrzésnek, amelyet a Hargita megyei rendőrök tartottak hétfőn a közlekedésbiztonság növelése érdekében.
Közel száz középiskolába látogat el országszerte a Sapientia Erdélyi Magyar Tudományegyetem november 10–14. között, hogy a magyar diákoknak bemutassa a 2026-os szakkínálatát, valamint hogy miért érdemes a Sapientiát választani.
A Mentsétek meg Romániát Szövetség (USR) elnöke, Dominic Fritz kedd este közölte, hogy sikerült kompromisszumra jutni a helyi közigazgatás reformjáról a koalícióban.
Az Országos Szakszervezeti Tömb (BNS) szerdán 10 órától tüntetést szervez a bukaresti kormánypalota előtti téren, amelyet felvonulás követ a parlament melletti Alkotmány térig.
Az érdekvédelmi tömörülés a nyár végén indított pert az állami megszorító intézkedések miatt, amelyek következtében az egészségügyi rendszerben dolgozó alkalmazottak egy részének csökkent a bérpótléka, és többletszabadnapokat veszítettek el.
Jelentős drágításra készülnek a marosvásárhelyi taxisok, azt tervezik, hogy kilométerenként két lejjel emelik a fuvardíjat. Nincs könnyű dolguk, hiszen Marosvásárhelyen két riválisuk is van, akik változó, kedvezményes díjszabással szállítanak.
Az utolsó bruttó fizetés 65 százalékának megfelelő bírói nyugdíjat és a nyugdíjkorhatár 15–20 évig tartó fokozatos emelését tartja kívánatosnak a Legfelsőbb Igazságszolgáltatási Tanács (CSM) alelnöke.
Az Országos Adóhatóság (ANAF) lezárta egy Argeș megyei mulatós előadó ügyében folytatott vizsgálatát, és összesen 1,612 millió lej eltitkolt jövedelmet állapított meg. A román sajtó úgy tudja, a tegnap Olaszországban elfogott Dani Mocanuról van szó.
1 hozzászólás