
Mint arról már beszámoltunk, egy illyefalvi férfitől az illetékes hatóságok elkobozták a kutyáját, miután kiderült, hogy a gazda nem tartja be az állatjóléti szabályokat, a vádak szerint veri az ebet.
2021. május 07., 00:202021. május 07., 00:20
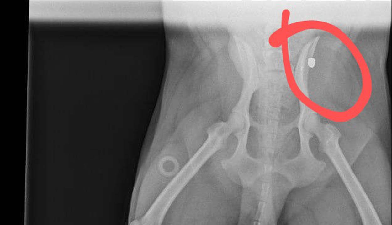
Igyártó Nándor, a kutya megmentésében segédkező állatvédő lapunknak elmesélte, a kutyának pénteken kellett volna németországi örökbefogadóihoz utaznia, ám időközben fura dolgot, pontosabban egy golyót találtak a testében, így egyelőre felfüggesztették az örökbefogadási folyamatot.
– Peti rossz sorsáról engem egy hölgy értesített, ő nevezte el így az ebet, és hát maradt a név. Nem ritka, hogy „magyar” kutya kerül külföldre, és az ottani gazdák, miután közlik velük a négylábúak addigi neveit, végül úgy döntenek, megtartják, mert hangzatosnak találják, és a kutya is megszokta már. Szóval Petit az elkobzás után a szépmezői menhelyre vitték a hatóságok, aztán közbejárásommal a brassói Animals Need Us állatvédő egyesülethez került, innen utazott volna pénteken a németországi örökbefogadóihoz. Időközben az egyesület elnöke észrevette, hogy a kutya furán mozgatja egyik lábát, így megröntgenezték, és kiderült, hogy egy golyó van a csípőjében. Hihetetlen, hogy mennyi kínon ment át ez a szegény állat – számolt be az állatvédő.
A kutyát komolyabb vizsgálatoknak vetik alá, hiszen meg kell állapítani, hogy a betokosodott golyó veszélyt jelent-e az egészségére, ki tudják-e műteni a valószínűleg légpuskával belé lőtt fémdarabot.
– Várjuk az örökbefogadó válaszát is, hiszen az is előfordulhat, hogy ő vállalja a kutya gyógyítását, ha műtétre lenne szükség – összegzett Igyártó.
Három napig állt a bál a kézdiszéki Torján. Pénteken délelőtt kezdődtek és vasárnap este értek véget a Septemberfestre keresztelt falunapok, benne „nemzetközi” főzővetélkedővel és az elmaradhatatlan óriás túrós puliszkával.
Jubileumi kiadásához érkezett Csernáton messze földön híres rendezvénye, amely egyszerre szól hagyományőrzésről, közösségépítésről és szórakozásról. Szeptember 7-én, vasárnap tizedik alkalommal tartanak huszár -és katonadal-találkozót.
Átadta a Kovászna megyei önkormányzat az előkészítő osztályba induló gyerekeknek szánt felszerelt iskolatáskákat. 2250 gyermek részesülhet az ajándékban.
Szeptember 5-7. között zajlanak a 21. alkalommal megrendezett, Septemberfestre keresztelt torjai falunapok. Természetesen idén sem marad el a nemzetközi gasztronómiai verseny és az óriás túrós puliszka. Íme, a program.
Románia legszebb speciális iskoláját vehetik birtokba ebben a tanévben a háromszéki, sajátos nevelési igényű gyerekek: a sepsiszentgyörgyi intézmény egy felújított, kibővített, ultramodern felszereléssel ellátott oktatási egységgé vált.
A parkolási díjak fizetésének tekintetében is halad a korral Sepsiszentgyörgy: jövő hétfőtől csak digitálisan lehet majd fizetni a parkolásért a városban.
A Sepsiszentgyörgyi Helyi Rendőrség, helyi tanácshatározat alapján immáron több éve ellenőrzi a lovas fogatokkal való közlekedést a város területén. Augusztusban újabb, engedéllyel nem rendelkező szekereket foglaltak le.
Sepsiszentgyörgy egyik legnagyobb és legnépszerűbb általános iskolájának diákjai nehéz helyzetben vannak: a tanintézmény mindkét épülete felújítás alatt áll, az osztályokat üggyel-bajjal sikerült elhelyezni. Még egy egész tanévet kell kibírni.
A Mihai Viteazul Főgimnázium épületeinek felújítása akadozik, sportpályáján viszont zajlik a munka: itt épülnek a moduláris tantermek. Sepsiszentgyörgy egyetlen román nyelvű elméleti líceumának diákjai öt év után visszatérnek az intézmény területére.
Kétévente esedékes, immár 23. kollokviumát tartotta a Nemzetközi Címertani Akadémia augusztus 27–30. között Jászvásáron. Ez alkalomból Keöpeczi Sebestyén József erdélyi címerművész munkásságát bemutató tárlatot is berendeztek.
szóljon hozzá!